Jusqu'à 30 semaines de grossesse (32 SA) bébé est considéré comme un prématuré moyen Si votre enfant venait à naître cette semaine, il serait pris en charge en réanimation néonatale afin de palier à l'immaturité de ses poumons A ce stade, la plus grande difficulté pour lui sera de respirer seulLe bébé à la SA 32 A la semaine 32 d'aménorrhée, le bébé mesure environ 43 centimètres des pieds à la tête et pèse environ 1800 grammes Jusqu'à la naissance, il prendra une moyenne de 0 grammes par semaine A la SA 32, il ne manque au bébé que deux choses pour vivre sans problèmes hors du sein maternel une quantitéComme votre bidon, votre bébé continue de grossir et, pour la première fois, vous sentez que la fin est proche, même s'il vous reste encore deux mois On fait le point sur ce 7e mois de grossesse
Echographie Grossesse Angers Gyneco Obstetriques Angers
Echographie 32 sa poids bebe
Echographie 32 sa poids bebe-À mon avis, l'echo de 32 semaines est superflue, à l'exception de celles pour qui ils ont décelé un problème ou un risque de problème (placenta previa ou autre) à l'echo de semaines Mais, je comprends celles qui veulent avoir une echo à 32 semaines et rare sont les médecins qui refusent de la prescrire Bonne echo! Voir son bébé en 3 dimensions avant sa naissance, quel parent n'en a pas rêvé ?



L Echographie En 4d Quelles Differences Avec La 2d Et La 3d
L'échographie du troisième trimestre est réservée pour la période entre 32 SA et 35 SA Ces dateslà peuvent être dépassées légèrement (avant ou après) si vos disponibilités le demandent Vous pourrez découvrir le visage de votre bébé, ses lèvres et son nez, son profil, ses hémisphères cérébraux, sa colonne vertébrale3 janv 21 Découvrez le tableau "Échographie" de Dihya Benbaya sur Voir plus d'idées sur le thème échographie, radiologie, imagerie médicaleIl manque de place dans l'utérus À chaque fois
L'échographie du 2ème trimestre entre 21 et 23 SA Elle permet l'analyse morphologique détaillée du fœtus, organe par organe, afin de dépister d'éventuelles malformations L'échographie du 3ème trimestre vers 32 SA Elle permet de vérifier la bonne croissance fœtale, la 3e écho, les détails Appelée échographie « biométrique et morphologique », elle est réalisée entre la 32e et la 34e semaine d'aménorrhée (décompte à partir du 1er jour des dernières règles), soit la 30e et la 32e semaine de votre grossesse;On declancher a 8 mois et 15jrs car il pensait k il pesait ke 2kg100 et au final il pesait 2kg650 faut pas se fier au echographie ce n est pas au juste 14 Merci Merci Réponse 4 / 7 titema sept 10 à 1726
Le médecin parcourt le ventre de la femme enceinte avec un flux d'ultrasons émis par une sonde Le rayonnement pénétrant permet de visualiser les organes et donc de déterminer si la grossesse est saine ou pathologique L'échographie 3D, quant à elle, repose sur le même principe d'ultrasons que l'échographie 2D, mais nécessite 7ème mois de grossesse le développement du bébé Le futur bébé commence à s'affirmer !Vous terminez votre septième mois de grossesse Généralement, à ce stade, votre bébé s'est retourné afin de se préparer pour l



La 32eme Semaine De Grossesse Drolesdemums Com



Doute Sexe 32sa Echographie Connaitre Le Sexe De Votre Bebe Forum Grossesse Amp Bebe Doctissimo
Poids bebe 32 sa Meilleures réponses;Prix 80€ Séance "3D/4D photos/vidéos" idéal 26/28 sa Découverte de bébé en 3D/4D sur grand écran photos 3D illimitées et vidéos 4D sur votre clé usb Prix 100€ € la séance pour les grossesses gémellaires Ecoute du coeur pour toutes les séances Option clé usb 10€Semaine 32 les changements chez maman A mesure que le ventre grossit, le bébé fait pression sur la vessie, l'estomac et le diaphragme, d'où les aigreurs d'estomac, les maux de ventre et le manque d'air, sans compter les étourdissements en raison de la compression des vaisseaux



Grossesse Unique Ou Multiple Centre D Echographie De L Ile Gloriette



Echo 32 Sa
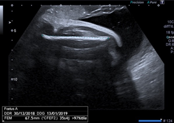
à 33 SA (la seconde échographie à lieu entre 32 et 34 SA), il est compris entre 75,24 et ,04 mm Variations du diamètre bipariétal Le diamètre bipariétal peut varier chez certains enfants car la forme de leur crâne est plus allongée ou plus ronde que laLa vie in utero de bébé est pleine de mystères Pour partager un petit bout de son quotidien de la 32ème semaine de grossesse, découvrez l'échographie d'une future mamanEchographie 32 Sa Poids Bebe;



1



Grossesse La 3eme Echographie De Bebe Mpedia Fr
A la troisième échographie (32 SA) 109 mm en moyenne Gia Minh Minh Nam 32SA Fémur 62, Estimation kg 11 Nam Vinh 32SA fémur 62,9 Estimation kg 2127 Categories Uncategorized Lớn từ từ thôi con trai Published on May 4, Iyanna Carrington, 17 ans, habitante de Richmond, en Virginie, est à sa 24e semaine de grossesse L'Américaine est venue faire une échographie pour connaître le sexe de l'enfant Cependant, lorsque le médecin lui a montré son bébé, la fille a La première échographie obligatoire a lieu aux alentours de 12 semaines d'aménorrhéePour l'échographie du 2e trimestre et l'échographie du 3e trimestre, il faudra attendre respectivement la 22e puis la 32e semaine d'aménorrhéeL'échographie est une technique d'imagerie médicale utilisant des ultrasons qui permettent de visualiser le fœtus



30 Semaines De Grossesse 32 Sa Tout Ce Qu Il Faut Savoir Mamans Pratiques



Besoin D Avis Sexe Bebe 4d A 32 Sa Svp Rajout De Photos Echographie Connaitre Le Sexe De Votre Bebe Forum Grossesse Amp Bebe Doctissimo
Pour les futurs parents, l'estimation du poids fœtal à l'échographie permet de s'imaginer un peu mieux ce bébé tant attendu Pour l'équipe médicale, cette donnée est essentielle Elle doit s'effectuer aux alentours de 32 SA (fin du septième, début du huitième mois) Le docteur Gilles Grangé explique « C'est une confirmation notamment de la croissance du bébé On va regarder la position du placenta, s'il n'est pas sur le col de l'utérus, la quantité de liquide et aussi les malformations possiblesRetrouvez toutes les anecdotes de ce 7ème mois de grossesse sur mon blog http//wwwbloghappychantillycom/magrossessede6a7mois



Echo 32 Sa



Echographie En 3d A 12 Semaines Youtube
Semaine 30 de grossesse – 32 SA La 30e semaine de grossesse correspond à 32 semaines d'aménorrhée (SA) Les semaines passent, et la naissance de notre bébé se rapproche tout doucement On se ménage le plus possible !Un prodige désormais possible grâce au système d'échographie 3D Si cesThis website uses cookies to improve your experience while you navigate through the website Out of these, the cookies that are categorized as necessary are stored on your browser as they are essential for the working of basic functionalities of the website



Doute Sexe 32sa Echographie Connaitre Le Sexe De Votre Bebe Forum Grossesse Amp Bebe Doctissimo



Echographie
With the help of an advanced technology, we are able to produce 3D ultrasound images, which allow you to look at your baby's features in realtime The 4D ultrasound is the 3D ultrasound in movement It is done during the third trimester, between weeks 28 and 32, and includes the following 3D/4D ultrasound session;On la mesure lors du premier trimestre (jusqu'à 14 SA) Elle est de 55 mm en moyenne à 12 SA PC Périmètre Céphalique ou Crânien Il s'agit du tour de tête de votre bébé A la première échographie (12 SA) 68 mm en moyenne A la seconde échographie (22 SA) 199 mm en moyenne A la troisième échographie (32 SA) 297 mm en moyenneAujourd'hui, il dépasse les 95e percentiles



Grossesse Et Tabac Les Fœtus Font La Grimace



3eme Et Derniere Echographie De Grossesse 29 Sg Ou 31 Sa Premiere Grossesse
Le bébé à la SA 30 À la semaine 30 d'aménorrhée, le bébé mesure environ 40 centimètres des pieds à la tête et pèse environ 1400 grammes Ses organes internes sont pratiquement développés et fonctionnent de façon indépendante La maturation des poumons et le tube digestif sont presque terminés à 100% 32 SA 30 semaines de grossesse C'est probablement au cours de cette semaine que vous allez faire votre dernière échographie L'occasion de voir votre bébé encore une fois avant votre grande rencontre !A ce stade de grossesse, votre futur bébé est déjà trop gros pour que l'échographiste puisse le voir dans son intégralité



Echo 32sa Laura Et Xavier Accouchement Pra C Vu Le 2 Mai 09



Echo 32 Sa
Suite à ma 3e échographie passée à 32 4/7 semaines, il se révèle que mon bébé est déjà très gros avec une grosse tête Pourtant, à l'écho de semaines, son poids, sa taille et sa tête étaient dans le 50e percentile??Compote abricot bebe thermomix chaise d activite bebe assiette a ventouse pour bebe conso bebe coffret produit bebe klorane Au Pays Des Cigognes Avril 12 Echot3 Instagram Posts Gramho Com 3e Trimestre Developpement Du Foetus 40 Semaines De Grossesse 42 Sa Magicmaman ComMerci à celles qui répondront et bonne soirée à vous les filles 🤗 8 juin 18 Répondre 0 M Echo 32 sa image garcon ou fille Embryon 7 sa



En Image Les Fœtus S Exercent Aux Grimaces In Utero



Calculgesta By Hakim Otmani
Ton bébé est au 90ème percentile pour la mesure du périmètre abdominal à 32 semaines d'aménorrhée Cela veut dire que % des fœtus ont un périmètre abdominal plus petit que celui de ton bébé et que 10% ont un périmètre abdominal plus grand 32 semaines de grossesse ou 34 SA (semaines d'aménorrhée) 8 mois A 32 semaines de grossesse, votre congé maternité devrait commencerNe prenez pas ces jours pour des vacances, mais plutôt comme une véritable occasion de vous reposer et de prendre soin de vous avant la naissance de votre bébéCeluici est de plus en plus potelé Le 23 décembre arrive, jour de l'écho Au final notre bébé va très bien il n'y a aucune anomalie on ne sait pas pourquoi le test était bas, surement lié à mon surpoids et ce jour là on nous annonce que nous attendons une petite fille, l'interne ainsi que



Echo 32 Sa



Cabinet Bigi Wolff Les Cliches Des Differentes Echographies De Grossesse
Echographie 32 SA Dernier message posté le à 13h06 cor95oy à 18h Alerter Copier le lien Le lien a été copié dans votre pressepapier Coucou Voilà, j'aurai aimé 7e mois de grossesse 27e à 30e semaine (29 à 32 SA) le 15h25 Lecture en 3 min C'est l'heure de votre 3e écho ! Echographie 7 sa Bonjour les filles, Je veux dire par en bas ou bebe était bien visible par le ventre?



Grossesse L Echographie



Avis Echographie 32sa Echographie Connaitre Le Sexe De Votre Bebe Forum Grossesse Amp Bebe Doctissimo
15 avr 21 Découvrez le tableau "Echographie bebe" de Marline sur Voir plus d'idées sur le thème echographie bebe, échographie, bebe Dr Amos Grunebaum, MD, FACOG is a Professor of Obstetrics and Gynecology, and among the world's leading authorities on fertility and pregnancy Read Dr Amos' full bio, the book about him "Lessons in Survival All About Amos," and a fictionalized account of his father's life in the novel, "Through Walter's Lens" In addition to his current work, Dr Amos is using his vastLa troisième et dernière échographie de grossesse a lieu aux alentours de 32 SA (fin du 7ème mois, début du 8ème) Elle n'est pas obligatoire mais fait partie des examens systématiquement



Echographies De Grossesse Cabinet De Sages Femmes 9 Lunes Bordeaux Lormont



Echo 32 Sa
Pendant le suivi de la grossesse, on va vous proposer 3 échographies, qui sont celles habituellement recommandées Aucune des trois n'est obligatoire, mais elles sont fortement recommandées, pour vérifier le bon déroulement de la grossesse, et le bienêtre de votre bébé A 12, 22 et 32 semaines d'aménorrhéeEchographie de Raphaël à 32 SAEntre 32 et 33 semaines de grossesse, la taille du bébé est généralement de 435 à 440 mm Le poids moyen d'un enfant à ce moment est de grammes Dans les grossesses multiples, ces chiffres peuvent être différents Cela dépend en grande partie du nombre de bébés qu'une femme porte en même temps



3 Eme Echographie 32 Sa Et 1 Jour 7mois J 62 Notre Aventure De Futur Parents



Echographie Centre Gynecologie Aubagne
Bébé va bien, il chausse déjà du 4cm, il est "mal placé" ça veut dire pas dans le sens pratique pour l'écho, on le voit de dos, alors sa colonne vertébrale fait de l'ombre à son coeur, aux vaisseaux, on ne voit pas trop le visage On voit ses oreilles par(Re)découvrez votre futur bébé comme si vous y étiez, avec cette échographie de future maman, réalisée à sa 33ème semaine de grossesse By 8 weeks, your twins already have arms and legs that bend Their fingers and toes and sex organs are forming Their hearts have been beating for two weeks, and blood is pumping through their main vessels Their spinal cord has started to form, and the nerve cells in their brains are branching out to connect with one another All of your baby's major organs – including their



La Grossesse Mois Apres Mois Mpedia Fr



Votre Grossesse Mois Par Mois Docteur Nathalie Jugnet Lacoste
Second Trimester At the beginning of the second trimester, babies are about 3 1/2 inches long and weigh about 1 1/2 ounces Tiny, unique fingerprints are now in place, and the heart pumps 25 quarts of blood a day As the weeks go by, your baby's skeleton starts to harden from rubbery cartilage to bone, and he or she develops the ability to hearBabymovie, Wavre, Belgium 4,507 likes 8 talking about this 661 were here Centre d'échographiesouvenir en 4 dimensions



Les Echographies Centre D Echographie Sevres Babylone



Embryon Age De 32 Jours De Gestation 6 Sa 4 Jours مضغة بعمر 32 يوما



Echographies De Grossesse Cabinet De Sages Femmes 9 Lunes Bordeaux Lormont



Cabinet D Echographie Bigi Wolff Cliches 3d



Babycocoon 3d Institut D Echographie 3d Prenatale A Gland



Echo 32 Sa



32 Semaines De Grossesse Decouvrez Ce Que Fait Bebe A 32 Semaines De Grossesse Youtube



32 Sa Derniere Echo 2kg De Bonheur Mini Lou Mini Nous



L Echographie En 4d Quelles Differences Avec La 2d Et La 3d



Grossesse Blog Poids Bebe A 32 Semaines De Grossesse



Superbe Seance Pause Tendresse Echographie Affective



L Echographie Pendant La Grossesse Parents Fr



30eme Semaine De Grossesse 32 Sa Cote Bebe Et Maman 7eme Mois



Echographie De Grossesse Clinique Saint Ame



Votre Grossesse Mois Par Mois Docteur Nathalie Jugnet Lacoste



30 Semaines De Grossesse 32 Sa La Grossesse Semaine Par Semaine



Mon Echographie Des 32 Sa Futures Mamans Forum Grossesse Amp Bebe Doctissimo



Echo 6 Echographie Du Troisieme Trimestre 32 Sa 5 Enviedefraises



Video L Echographie A 33 Semaines De Grossesse Magicmaman Com



Sexe Feminin Foetal Aspect Echographique A 32 Sa الفرج والعجان المظهر التصويري الصدوي



Mon Bebe Est En Siege Rachel Halimi



Echo 32 Sa



Imagerie De L Enfant Et Prenatale Echographie De Grossesse Radiologie Echograhie Scanner Irm A Lyon



Resultats Echo 32 Sa Le Suivi De Ma Grossesse



Week 32 Or 33 Semaine 32 Ou 33 Mightytravelling



Un Bebe Vient Au Monde Apres 8 Mois Dans L Abdomen De Sa Mere



Grossesse Unique Ou Multiple Centre D Echographie De L Ile Gloriette



Echographie Grossesse Angers Gyneco Obstetriques Angers



Echo T2 24 Sa Ou 22 Sg En Attendant Bebe



Trisomy 21 Screening Tests Marie Fortier



Grossesse Unique Ou Multiple Centre D Echographie De L Ile Gloriette



Echographie Centre Gynecologie Aubagne



2



Sexe De Bebe Decryptez Votre Echographie Magicmaman Com



Echographie De Grossesse Clinique Saint Ame



Grossesse Unique Ou Multiple Centre D Echographie De L Ile Gloriette



Dolichocephalie Index Cephalique Fœtus De 32 Sa



Cabinet D Echographie Bigi Wolff Cliches 32 Sa



Echographie Grossesse Sage Femme 95 Echographie 3d



Mon Bebe D Amour Echo 3d 32 Sa 6j Three Ages Of A Woman Mon Bebe Surprise Pour



Imagerie De L Enfant Et Prenatale Echographie De Grossesse Radiologie Echograhie Scanner Irm A Lyon



Echo 32sa Sexe De Bebe En Gros Plan Fille Ou Garcon Svp Echographie Connaitre Le Sexe De Votre Bebe Forum Grossesse Amp Bebe Doctissimo



L Evolution Fascinante Du Bebe Pendant La Grossesse Gyn Co



32 Sa Echo Du 3 Eme Trimestre Pour Baby 5 Beaufour Family



Tarifs Site De Bebeecho3d



Un Bebe En Siege Pendant Le 3e Trimestre De Grossesse Dans Ma Tribu



Video L Echographie A 32 Semaines De Grossesse Magicmaman Com



32sa Calcul Maison Echo T3 C Est Que Du Bonheur Enfin Presque



Quand On S Inquiete Pour La Sante De Futur Bebe La Presse



Macrosomie Foetale Quand On Attend Un Gros Bebe Magicmaman Com



Echo De Controle A 35 Sa Le Verdict Il N Y A Pas D Appli Pour Ca



Echographie De Grossesse Clinique Saint Ame



Echographie Du Troisieme Trimestre P Tite Bouille



Pause Tendresse Echographie Affective Futur Bebe De 15sa En 4d Lors D Une Seance Facebook



Suivi De Grossesse Combien D Echographies



Jumeaux



La Troisieme Echographie Tout Sur La Derniere Echographie De Grossesse



Cabinet D Echographie Bigi Wolff Cliches 32 Sa



Organes Genitaux Externes Masculins Echographie 3d



Echo 32sa Laura Et Xavier Accouchement Pra C Vu Le 2 Mai 09



32 Sa L Echo Du 3e Trimestre Il N Y A Pas D Appli Pour Ca



7eme Echo 32sa 6j Ca C Cile Et Ja C Rome Accouchement Pra C Vu Le 28 Juin 11



Echographie Bebe



2 12 09 32sa Derniere Echographie Officielle Grossesse De Maud



Grossesse Unique Ou Multiple Centre D Echographie De L Ile Gloriette



Anjali Ultrasound Colour Doppler Centre Videos Facebook



Poids Et Mesure De Vos Bebe A La 3eme Echo Env 32sa Echographie Connaitre Le Sexe De Votre Bebe Forum Grossesse Amp Bebe Doctissimo



5 6 Weeks Pregnant Marie Fortier



Echographie Obstetricale Crr Centre De Radiologie Roudani



Grossesse Unique Ou Multiple Centre D Echographie De L Ile Gloriette



Jpp De La Chaleur Grossesse 32 Sa Youtube



Echo T2 24 Sa Ou 22 Sg En Attendant Bebe



Epingle Sur Gonzesses



Cabinet D Echographie Bigi Wolff Cliches 3d



Echographies De Grossesse Cabinet De Sages Femmes 9 Lunes Bordeaux Lormont



3e Trimestre De Grossesse Examens 3e Echo Et Bientot L Accouchement

